一只未绝育母犬的外阴肿块
翻译:祁海丽;校对:石慧18 A 6-year-old intact female Labrador retriever dog presents with a...
阅读(968)

兽医英语学习中心翻译:祁海丽;校对:石慧18 A 6-year-old intact female Labrador retriever dog presents with a...
阅读(968)
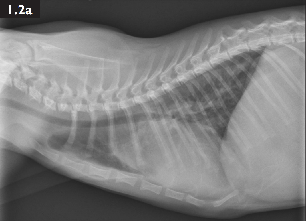
翻译:祁海丽;校对:石慧17 This ultrasound image (Figure 17.1) shows the midcervical region...
阅读(897)
翻译:祁海丽;校对:石慧16 A 6-year-old castrated male Maine Coon cat presents with severe r...
阅读(710)
翻译:祁海丽;校对:石慧15 A Border terrier dog presents to your clinic with a complaint of ...
阅读(562)
翻译:祁海丽;校对:石慧14 A 6-year-old female spayed Weimaraner (Figure 14.1) was given a c...
阅读(1004)
翻译:祁海丽;校对:石慧13 You have diagnosed an adult dog with a chronic enteropathy based ...
阅读(610)
翻译:祁海丽;校对:石慧11 Figures 11.1 and 11.2 show fluorescence in situ hybridization (FI...
阅读(984)
翻译:祁海丽;校对:石慧12 A 7-year-old female spayed English Bull terrier presents with an ...
阅读(610)
翻译:祁海丽;校对:石慧10 Figure 10.1 presents an endoscopic view of the greater curvature ...
阅读(812)
翻译:祁海丽;校对:石慧9 You are assessing a patient with a vague complaint of lethargy and...
阅读(846)
一周热门排行
阅读 (6402)
12023 AAHA常见犬猫内分泌疾病指南阅读 (2048)
2犬猫胸腔积液和肺水肿的X光片诊断阅读 (1943)
3腹背位(VD)胸片阅读 (1799)
4X型脱毛:一种有独特表现模式的脱毛阅读 (1757)
5犬猫小肠机械性梗阻的X光片诊断