一只慢性肠病的犬
翻译:祁海丽;校对:石慧13 You have diagnosed an adult dog with a chronic enteropathy based ...
阅读(599)

兽医英语学习中心翻译:祁海丽;校对:石慧13 You have diagnosed an adult dog with a chronic enteropathy based ...
阅读(599)
翻译:祁海丽;校对:石慧11 Figures 11.1 and 11.2 show fluorescence in situ hybridization (FI...
阅读(974)
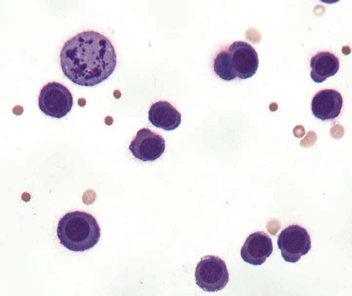
翻译:祁海丽;校对:石慧12 A 7-year-old female spayed English Bull terrier presents with an ...
阅读(600)
翻译:祁海丽;校对:石慧10 Figure 10.1 presents an endoscopic view of the greater curvature ...
阅读(801)
翻译:祁海丽;校对:石慧9 You are assessing a patient with a vague complaint of lethargy and...
阅读(839)
翻译:祁海丽;校对:石慧8 The following table shows hemograms from two dogs.下面的表格显示了2只狗狗的血常规...
阅读(951)
翻译:祁海丽;校对:石慧7 You are assessing a 10-year-old neutered male Border Collie for po...
阅读(698)
翻译:祁海丽;校对:石慧6 A 9-year-old male castrated domestic shorthair cat is examined for...
阅读(609)
翻译:祁海丽;校对:石慧5 An 11-year-old female spayed terrier cross dog presents with an en...
阅读(615)
翻译:祁海丽;校对:石慧4 A 9-year-old spayed female cat presents with a history of progres...
阅读(929)
一周热门排行
阅读 (6268)
12023 AAHA常见犬猫内分泌疾病指南阅读 (2005)
2犬猫胸腔积液和肺水肿的X光片诊断阅读 (1924)
3腹背位(VD)胸片阅读 (1775)
4X型脱毛:一种有独特表现模式的脱毛阅读 (1738)
5犬猫小肠机械性梗阻的X光片诊断